-
Rue du Rhône 61, Genève
-
lundi au vendredi : 09h30 à 18h30
Molders et gouttières Adulte 38 ans, GenèveOrthoLight
38
Ans · Adulte
Mixte
Molders + Gouttières
14
Mois · Durée
2
Arcades traitées
2023
Début du traitement
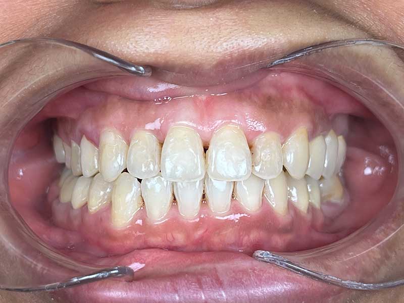
Situation initiale · Décembre 2023
"Je veux corriger mes dents, mais pas avoir l'air d'un adolescent avec des bagues pendant 2 ans."
C'est la phrase la plus fréquente au cabinet pour ce profil de patient. Un adulte actif de 35 à 45 ans, souvent non traité à l'adolescence ou partiellement récidivé depuis. Il sait ce qu'il veut corriger. Il sait que c'est possible. Ce qui le retient, c'est l'image du traitement — pas le résultat.
Ce cas répond à cette préoccupation avec des faits. Un adulte de 38 ans. Deux techniques orthodontiques discrètes combinées. Quatorze mois. Un résultat complet, conduit sans que son entourage professionnel ne perçoive qu'un traitement était en cours.
À l'examen initial, les deux arcades présentent des malpositions, mais de nature différente :
À l'arcade supérieure
Un désalignement modéré des incisives avec des rotations des centrales et une irrégularité de l'arcade dans son ensemble. La situation n'est pas sévère, mais elle manque d'harmonie — profil idéal pour les gouttières transparentes.
À l'arcade inférieure
Un encombrement plus marqué côté droit, avec une dent en rotation et en position décalée. Cette asymétrie localisée est précisément ce qui a guidé le choix d'un protocole différencié entre les deux arcades.
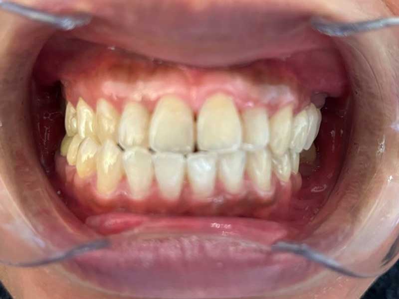
Résultat · Avril 2025
Après 14 mois — Un résultat complet, conduit en discrétion totale
La progression est nette et convaincante. Ce résultat a été obtenu en 14 mois — nettement plus court que les deux à trois ans souvent anticipés par les adultes qui hésitent à consulter.
L'arcade supérieure est harmonieuse — les rotations des incisives sont corrigées, l'alignement est régulier
L'encombrement inférieur droit est résolu — la dent précédemment décalée s'est intégrée dans l'arcade
L'occlusion est équilibrée sur l'ensemble des deux arcades
L'hygiène est facilitée — les zones d'encombrement qui rendaient le brossage difficile sont libérées
Ce n'est pas un hasard : c'est le résultat d'un protocole bien évalué, bien planifié, et conduit avec les bonnes techniques dans le bon ordre.
Protocole de traitement
Le bon outil au bon moment — Molders puis gouttières
Ce cas illustre un principe que le cabinet applique systématiquement : la technique suit le cas, pas l'inverse. Quand deux arcades présentent des problématiques différentes, le protocole s'adapte à chacune indépendamment.
Arcade supérieure · Gouttières transparentes · 14 mois
Gouttières transparentes
Le maxillaire supérieur présentait une problématique régulière et bilatérale, sans asymétrie marquée. C'est exactement le terrain pour lequel les gouttières sont les plus efficaces : des corrections modérées, distribuées sur toute l'arcade, qui progressent de façon homogène à chaque changement d'aligneur.
Chaque gouttière apporte une correction millimétrique. Le patient change de gouttière toutes les deux semaines, en autonomie, sans rendez-vous au cabinet entre chaque changement. Quasi invisible. Compatible avec une vie professionnelle normale. Retirable pour les moments importants.
Arcade inférieure · Molders puis Gouttières · 14 mois
Technique Molders côté droit
L'encombrement inférieur droit était localisé sur une ou deux dents spécifiques, nécessitant un mouvement de rotation précis en début de traitement. Les gouttières exercent des forces réparties sur l'ensemble de l'arcade — elles sont moins précises pour déplacer une dent spécifique avec un mouvement complexe en début de traitement.
Les Molders, dont les attaches sont moulées directement sur la surface de chaque dent, offrent un ancrage et un contrôle tridimensionnel supérieur pour ce type de correction ciblée. Trois mois de Molders sur le secteur droit ont permis de réaliser les corrections initiales avec la précision nécessaire.
Gouttières transparentes en relais
Une fois les corrections ciblées accomplies par les Molders, les gouttières ont pris le relais pour harmoniser l'ensemble de l'arcade inférieure sur 11 mois. Les deux techniques se complètent : les Molders corrigent ce que les gouttières auraient eu du mal à obtenir aussi rapidement en début de traitement, et les gouttières finalisent ce que les Molders avaient initié.
C'est ce qu'on appelle une approche séquentielle. Chaque technique est utilisée dans la fenêtre où elle est la plus efficace. Le résultat est meilleur, et la durée totale s'en trouve optimisée.
Discrétion pendant le traitement
14 mois sans que l'entourage professionnel ne perçoive rien
Pour un adulte de 38 ans, ce protocole présente un avantage décisif : il est quasi invisible pendant toute sa durée. Les Molders, utilisés avec un matériau de la teinte naturelle de la dent, sont remarquablement discrets sur l'arcade inférieure. Les gouttières transparentes aux deux arcades le sont encore davantage.
Pendant 14 mois, ce patient a conduit ses réunions, ses rendez-vous professionnels et ses interactions sociales sans que son traitement orthodontique soit perceptible par son entourage.
Molders · Teinte naturelle · Quasi invisible
Gouttières · Transparentes · Retirables
Aucun impact sur la vie professionnelle
Ce que ce cas illustre
Discrétion et efficacité ne s'opposent pas
La combinaison de techniques peut raccourcir la durée. Utiliser les Molders pour les corrections initiales ciblées, puis les gouttières pour l'harmonisation globale, permet d'optimiser chaque phase. Le résultat final est plus rapide à atteindre qu'en utilisant une seule technique pour tout corriger.
Ce protocole est quasi invisible pendant toute sa durée et donne un résultat clinique complet. Pour les adultes qui craignent de s'engager sur plusieurs années, 14 mois montre qu'un traitement complet peut être conduit en un peu plus d'un an.
"La discrétion n'est pas un compromis sur l'efficacité."
Ce que ce cas ne promet pas
14 mois est spécifique à ce cas
La durée de 14 mois correspond à la complexité spécifique de ce cas. D'autres situations adultes nécessiteront plus ou moins de temps selon la nature et l'amplitude des corrections à réaliser.
OrthoLight communique une durée estimée personnalisée à l'issue du bilan complet 3D, avant tout engagement.
Questions fréquentes sur ce cas
Pourquoi ne pas avoir utilisé uniquement les gouttières sur les deux arcades ?
Les gouttières sont excellentes pour des corrections modérées et régulières sur l’ensemble d’une arcade. Mais pour des corrections localisées et précises – comme la rotation d’une dent spécifique en début de traitement – les Molders offrent un contrôle tridimensionnel supérieur. Utiliser les Molders en phase initiale sur le secteur concerné, puis relayer avec les gouttières, permet d’obtenir un meilleur résultat en moins de temps qu’en utilisant les gouttières seules sur toute la durée.
Les Molders sont-ils visibles sur l'arcade inférieure ?
Non, ou très peu. La technique Molders utilise un matériau de la couleur naturelle de la dent et des attaches jusqu’à quatre fois plus petites qu’un bracket classique. En position linguale, ils sont totalement invisibles. En position vestibulaire, leur discrétion est nettement supérieure aux bagues conventionnelles. Pour un adulte actif de 38 ans, le résultat est quasi imperceptible au quotidien.
La durée de 14 mois est-elle réaliste pour tous les adultes ?
Non. La durée d’un traitement dépend de la complexité de la malocclusion, de la nature des corrections à réaliser et de la réponse biologique du patient. Quatorze mois correspond à la complexité spécifique de ce cas. D’autres situations adultes peuvent nécessiter 18, 24 ou 30 mois selon leur nature. OrthoLight communique une durée estimée personnalisée à l’issue du bilan complet 3D.
Peut-on combiner les Molders et les gouttières sur la même arcade ?
Non dans ce cas précis – les deux techniques ont été utilisées séquentiellement sur l’arcade inférieure, pas simultanément. Les Molders ont traité les corrections initiales ciblées pendant 3 mois, puis ont été retirés au profit des gouttières pour les 11 mois restants. L’approche séquentielle tire le meilleur de chaque technique dans la phase où elle est la plus efficace.
Faut-il une contention après ce type de traitement mixte ?
Oui, toujours. Quelle que soit la technique utilisée pendant le traitement actif, la contention est indispensable pour maintenir le résultat dans le temps. Dans ce cas, la photo de résultat a été prise en phase de contention – ce qui illustre bien que contention et résultat stable vont de pair. OrthoLight intègre systématiquement cette étape dans chaque plan de traitement.
Vous vous reconnaissez dans ce profil ?
Adulte actif, traitement discret, résultat rapide
Consultez OrthoLight pour un bilan complet et une évaluation honnête de ce qui est possible pour votre situation. Sans promesse, sans pression — avec les options réellement disponibles pour votre cas.
Consultation initiale : 104.60 CHF · Barème SSO
Prendre rendez-vous →