-
Rue du Rhône 61, Genève
-
lundi au vendredi : 09h30 à 18h30
Gouttières transparentes Adulte 28 ans, GenèveOrthoLight
28
Ans · Adulte
Gouttières
Technique utilisée
24
Mois · Durée
2
Arcades traitées
2020
Début du traitement
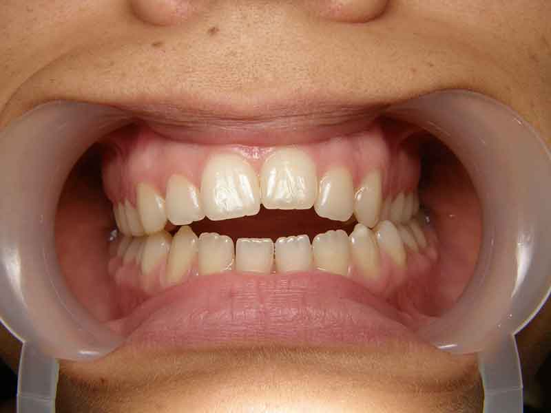
Situation initiale · Septembre 2020
"J'ai trop attendu" — la phrase la plus fréquente. Et la plus fausse.
La grande majorité des adultes qui consultent OrthoLight pour la première fois ont une chose en commun : ils pensaient avoir raté le bon moment. Pas traités à l'adolescence, ils ont vécu des années avec un sourire qui les gênait sans jamais franchir le pas. Parce qu'ils craignaient d'arborer des bagues à 28 ans. Parce qu'ils pensaient que la correction serait impossible. Parce que personne ne leur avait dit qu'il existait une autre option.
Ce cas est pour eux. Un adulte de 28 ans. Une situation initiale complexe. Vingt-quatre mois de gouttières transparentes. Et un résultat que personne ne devine en regardant ce sourire aujourd'hui.
La photo initiale révèle une double problématique particulièrement marquée :
À l'arcade inférieure : un encombrement sévère
Les incisives inférieures sont empilées, chevauchées, avec des rotations importantes. Plusieurs dents sont en position ectopique — hors de leur axe naturel dans l'arcade. C'est visuellement très prononcé et fonctionnellement contraignant.
À l'arcade supérieure : des espaces marqués
Les incisives supérieures présentent des diastèmes — des espaces interdentaires visibles, dont un diastème central prononcé.
La situation est donc en miroir : trop de place en haut, pas assez en bas. Ce type de cas est l'un des plus complexes à traiter avec des gouttières car il exige deux objectifs simultanés et opposés — fermer les espaces au maxillaire et résoudre l'encombrement à la mandibule — tout en maintenant une occlusion cohérente entre les deux arcades tout au long du traitement.
Résultat · Janvier 2023
Après 24 mois — Un sourire que rien ne trahit
La photo de résultat est prise en sourire naturel, sans écarteur. C'est un choix délibéré : on ne regarde plus l'intérieur de la bouche, on voit le sourire tel que le monde le voit.
Les diastèmes supérieurs sont fermés — l'arcade du haut est harmonieuse et continue
L'encombrement inférieur est entièrement résolu — les incisives sont droites, les rotations corrigées
Le sourire est esthétique, équilibré, naturel
Rien dans cette photo ne trahit un traitement orthodontique passé ou présent
Vingt-quatre mois discrets. Un résultat visible pour toujours.
Choix thérapeutique
Les gouttières transparentes — Discrétion et efficacité pour un adulte actif
Pour un adulte de 28 ans avec une vie professionnelle active, les gouttières transparentes répondent à des contraintes que les bagues conventionnelles ne peuvent pas satisfaire.
✦
Quasi invisibles
Portées sur la face externe des dents, elles sont transparentes et quasi indétectables en conditions normales. La plupart des collègues ou interlocuteurs professionnels ne remarquent rien.
✦
Amovibles
Le patient les retire pour manger, pour brosser ses dents, pour les moments qui comptent. Un entretien important, une photo, un mariage — la gouttière se retire en quelques secondes.
✦
Sans impact sur la phonation
L'adaptation est rapide. La grande majorité des patients retrouvent une élocution normale en moins d'une semaine.
✦
Hygiène irréprochable
Sans brackets ni fils, le brossage reste normal. Aucune zone de rétention alimentaire difficile d'accès.
Le principe du traitement
Les gouttières sont fabriquées sur mesure à partir d'un scan numérique 3D de l'arcade dentaire. Avant même le début du traitement, le praticien simule l'ensemble des déplacements dentaires sur ordinateur — le patient visualise son sourire final avant de commencer.
Chaque série de gouttières est portée environ deux semaines, puis remplacée par la suivante. Chaque gouttière est légèrement différente de la précédente : ensemble, elles guident progressivement les dents vers la position finale planifiée. Le traitement avance ainsi, étape par étape, sur 24 mois pour ce cas.
Ce que ce cas illustre
Il n'est jamais trop tard — et la complexité ne contre-indique pas les gouttières
À 28 ans, les os sont plus denses qu'à l'adolescence, mais les déplacements dentaires restent tout à fait possibles avec un plan de traitement adapté. La physiologie de l'adulte n'interdit pas l'orthodontie — elle l'adapte.
Ce cas associait deux types de mouvements difficiles — fermeture d'espaces et résolution d'encombrement sévère — sur les deux arcades simultanément. Le résultat démontre que les gouttières, prescrites et suivies par un orthodontiste exclusif, prennent en charge des situations bien au-delà des corrections légères.
"Vingt-quatre mois discrets. Un résultat visible pour toujours."
Ce que ce cas ne promet pas
La discipline de port est déterminante
Les résultats varient selon la nature de la malocclusion, le profil du patient et sa discipline de port — les gouttières doivent être portées au minimum 22 heures par jour pour être efficaces.
Pour les malocclusions les plus complexes, d'autres techniques peuvent être plus adaptées. La transparence sur les options disponibles est la règle au cabinet. OrthoLight évalue chaque cas individuellement lors de la consultation initiale.
Questions fréquentes sur ce cas
Les gouttières peuvent-elles vraiment traiter un encombrement aussi sévère que celui montré en photo 1 ?
Oui, dans de nombreux cas. Les gouttières modernes ont considérablement étendu leur spectre clinique depuis leurs débuts. Des encombrements sévères, des rotations importantes, des fermetures d’espaces complexes sont aujourd’hui accessibles avec des gouttières, à condition d’une planification rigoureuse et d’un suivi par un orthodontiste exclusif. Le bilan 3D réalisé en début de traitement permet de déterminer avec précision ce que les gouttières peuvent accomplir pour chaque cas spécifique.
24 mois de gouttières, c'est long. Y avait-il une alternative plus rapide ?
La durée d’un traitement orthodontique dépend de la complexité de la correction à réaliser, pas seulement de la technique choisie. Pour ce niveau de correction – encombrement sévère et fermeture de diastèmes sur les deux arcades simultanément – 24 mois est une durée cohérente quelle que soit la technique. Les bagues auraient nécessité une durée comparable pour un résultat équivalent, avec beaucoup moins de discrétion pendant le traitement.
Faut-il retirer les gouttières pour manger et boire ?
Oui, pour manger et pour toute boisson autre que l’eau froide. Les gouttières doivent être retirées avant les repas et remises après un brossage rapide. En pratique, la plupart des patients s’adaptent très rapidement à ce rythme. Le port minimum de 22 heures par jour est la condition d’efficacité du traitement.
La photo de résultat montre-t-elle le sourire sans contention ?
La photo a été prise quelques mois après la fin du traitement actif, en phase de contention. La contention – fil collé et gouttière nocturne – est indispensable pour maintenir le résultat dans le temps. Sans elle, les dents tendent à reprendre leur position initiale. OrthoLight intègre systématiquement la contention dans chaque plan de traitement.
À 35 ou 40 ans, peut-on obtenir le même type de résultat ?
Oui. Il n’existe pas d’âge limite pour un traitement orthodontique par gouttières. La physiologie de l’adulte de 35 ou 40 ans diffère légèrement de celle de 28 ans – les déplacements peuvent être légèrement plus lents – mais les résultats sont tout aussi satisfaisants avec un plan de traitement adapté. La consultation initiale permet d’évaluer votre situation spécifique et de vous donner une vision réaliste de ce qui est possible.
Vous vous reconnaissez dans ce cas ?
Prendre rendez-vous pour une évaluation
Vous avez passé les 20 ans sans traitement orthodontique, et vous hésitez encore aujourd'hui ? La consultation initiale chez OrthoLight vous donnera une réponse honnête sur ce qui est possible pour votre situation, avec les techniques disponibles aujourd'hui pour un adulte actif.
Consultation initiale : 104.60 CHF · Barème SSO
Prendre rendez-vous →