-
Rue du Rhône 61, Genève
-
lundi au vendredi : 09h30 à 18h30
Traitement mixte Adulte 60 ans, GenèveOrthoLight
60
Ans · Sénior
4
Techniques utilisées
18
Mois · Durée
2
Arcades traitées
2022
Début du traitement
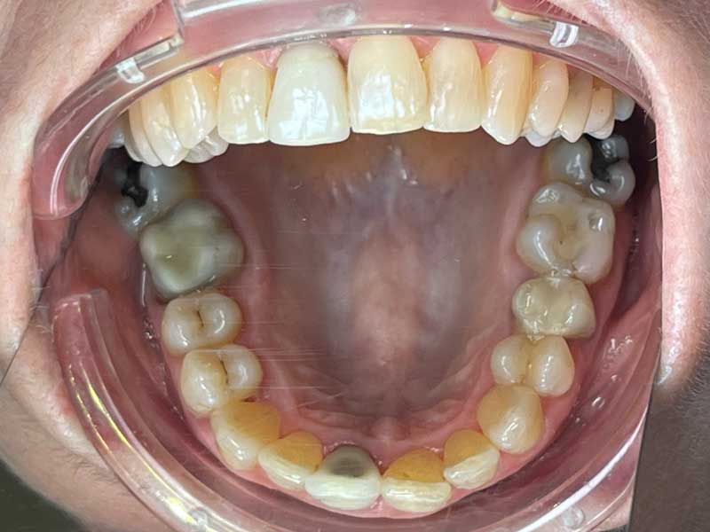
Situation initiale · Octobre 2022
"À mon âge, c'est trop tard." Regardez ces photos avant de le croire.
C'est la phrase la plus répandue chez les patients de 55 à 70 ans qui poussent la porte d'OrthoLight pour la première fois. Une conviction installée depuis des décennies, souvent alimentée par un dentiste qui n'a jamais évoqué l'orthodontie comme option, ou par l'idée que les bagues, c'est pour les adolescents.
Ce cas est la réponse la plus directe possible à cette idée reçue. Un patient de 60 ans. Une malocclusion complexe, non traitée sur plusieurs décennies. Quatre techniques orthodontiques différentes, adaptées à chaque arcade et à chaque phase du traitement. Dix-huit mois. Et un résultat que l'on ne peut pas nier en regardant les photos.
La photo initiale révèle une situation clinique sévère, caractéristique d'une malocclusion adulte non traitée sur plusieurs décennies :
Les deux arcades présentent un désalignement important, avec des rotations multiples et des chevauchements marqués sur les deux mâchoires
Plusieurs restaurations prothétiques existantes — couronnes ou éléments prothétiques — indiquent des soins dentaires au fil des années, sans que la composante orthodontique n'ait jamais été abordée
Les gencives présentent une inflammation visible, directement liée à la difficulté d'hygiène dans un contexte d'encombrement aussi marqué
Les deux arcades présentent des problématiques différentes en nature et en intensité — ce qui a guidé le choix d'un protocole asymétrique
Résultat final · Juillet 2025
Après 18 mois — Une transformation complète, bi-maxillaire
La transformation est saisissante. Plus aucune bague, plus aucun fil. Les deux arcades sont alignées de façon harmonieuse.
Les deux arcades sont alignées de façon harmonieuse
L'occlusion est équilibrée et stable
Les espaces interdentaires sont cohérents sur l'ensemble des deux arcades
Les gencives sont saines — les papilles interdentaires sont présentes et bien formées
Aucune modification prothétique supplémentaire — la couleur naturelle des dents est conservée
Ce dernier point mérite attention : corriger l'alignement a directement amélioré l'hygiène, et donc la santé parodontale. L'orthodontie ici n'était pas seulement esthétique — elle était médicalement justifiée.
Protocole de traitement
4 techniques — 18 mois — 2 arcades traitées indépendamment
C'est la particularité centrale de ce cas. Chez OrthoLight, la technique suit le cas — jamais l'inverse. Quand un cas présente des problématiques différentes sur les deux arcades, le protocole s'adapte à chaque arcade indépendamment. C'est ce qui a été fait ici.
Arcade supérieure · 18 mois en deux phases
Brackets métalliques avec arc d'expansion lingual
L'arcade supérieure nécessitait une approche mécanique forte : redresser des dents fortement désaxées et élargir une arcade trop étroite. Ce double objectif appelait les brackets conventionnels, associés à un arc d'expansion lingual.
L'arc lingual est un fil métallique fixe positionné sur la face intérieure des dents supérieures. Il exerce une pression latérale continue qui élargit progressivement le couloir dentaire. Chez un adulte de 60 ans, la suture palatine est soudée — l'expansion n'est plus osseuse comme chez l'enfant, elle est dentaire : les dents s'inclinent progressivement pour élargir le couloir esthétique et améliorer la relation entre les deux arcades.
Gouttières transparentes en finition
Une fois les grandes corrections réalisées par les brackets, les gouttières transparentes prennent le relais pour les 6 derniers mois. Elles permettent des micro-corrections de position, de rotation et d'inclinaison avec une précision que les brackets atteignent difficilement en phase terminale. Elles assurent également une transition confortable vers la contention.
Arcade inférieure · 12 mois en deux phases
Technique Molders
Pour l'arcade inférieure, le choix s'est porté sur la technique Molders. Ce n'est pas un choix par défaut — c'est un choix clinique précis. Chez un adulte de 60 ans dont l'arcade inférieure a subi des migrations et des rotations sur plusieurs décennies, le parodonte peut être fragilisé. Les forces appliquées doivent être légères et parfaitement individualisées pour chaque dent.
L'attache moulée directement sur la dent — et non préfabriquée à taille standard — épouse l'anatomie de chaque dent avec une précision qui permet d'appliquer des forces faibles et ciblées. Moins de contrainte sur le parodonte, des déplacements plus respectueux des tissus de soutien. La discrétion des Molders constitue un bénéfice supplémentaire pour un patient actif de 60 ans.
Gouttières transparentes en finition
Même logique qu'au maxillaire : les gouttières prennent le relais des Molders pour les corrections fines et préparent la transition vers la contention.
Logique clinique
Pourquoi un protocole différent sur chaque arcade ?
Parce que les deux arcades présentaient des problématiques différentes en nature et en intensité, et que leur imposer le même appareil aurait été un compromis au détriment du résultat.
L'arcade supérieure nécessitait une expansion et un travail mécanique fort que les brackets associés à un arc lingual pouvaient seuls fournir efficacement. L'arcade inférieure, dont le parodonte adulte demandait des forces légères et précises, se prêtait mieux aux Molders. Les gouttières, introduites en phase de finition sur les deux arcades, ont permis d'aboutir à une précision que les techniques fixes seules n'auraient pas atteinte aussi facilement en phase terminale.
C'est cela, un traitement sur mesure : analyser chaque arcade indépendamment, choisir la technique la plus adaptée à chaque problématique, et faire évoluer le protocole phase par phase.
Brackets + arc lingual · Maxillaire · 12 mois
Molders · Mandibule · 8 mois
Gouttières finition · 2 arcades · 4-6 mois
Ce que ce cas illustre
Il n'y a pas d'âge limite pour l'orthodontie
À 60 ans, les dents se déplacent. Le parodonte répond aux forces orthodontiques. Le résultat peut être aussi complet qu'à 30 ans — à condition que le protocole soit adapté à la physiologie de l'adulte. Ce qui change avec l'âge, c'est l'approche, pas la possibilité.
La complexité appelle l'adaptation. Un protocole standardisé aurait produit un résultat standardisé. Ce cas illustre ce que signifie construire un traitement sur mesure. Et l'orthodontie est aussi une médecine : la correction de l'alignement a restauré une hygiène possible, donc une santé parodontale améliorée.
"Quatre techniques. Un seul objectif. Un résultat qui le justifie."
Ce que ce cas ne promet pas
Les protocoles mixtes sont réservés aux cas complexes
La durée, le nombre de phases et les techniques utilisées varient selon chaque situation. OrthoLight évalue chaque cas individuellement lors du bilan complet 3D et ne propose un protocole mixte que lorsque l'indication clinique le justifie clairement.
Chaque patient repart de la consultation initiale avec une vision honnête de ce qui est possible pour sa situation spécifique — sans promesse, sans pression.
Questions fréquentes sur ce cas
Est-il vraiment possible d'obtenir ce résultat à 60 ans ?
Oui. Les photos de ce cas en sont la démonstration directe. Les dents d’un adulte de 60 ans se déplacent sous l’effet des forces orthodontiques – plus lentement que chez un adolescent, mais avec la même efficacité pour peu que le protocole soit adapté. Ce qui change avec l’âge, c’est la façon dont on conduit le traitement : forces plus légères, surveillance plus fréquente du parodonte, choix de techniques qui respectent les tissus de soutien. Ce n’est pas une limite – c’est une adaptation.
Pourquoi 4 techniques différentes pour un seul patient ?
Parce que les deux arcades présentaient des problématiques différentes, et que chaque phase du traitement appelait la technique la plus adaptée à ses objectifs. Les brackets associés à un arc lingual pour l’expansion et l’alignement fort au maxillaire. Les Molders pour des forces légères et précises à la mandibule. Les gouttières en finition sur les deux arcades pour les micro-corrections terminales. Chaque choix avait une raison clinique précise. C’est cela, un traitement sur mesure.
Les Molders sont-ils adaptés aux adultes âgés ?
Oui, et particulièrement bien. La technique Molders, qui moule les attaches directement sur la surface de chaque dent, permet d’appliquer des forces très faibles et parfaitement individualisées. C’est un avantage clinique réel pour un parodonte adulte qui peut être fragilisé par des années de contraintes anormales. La discrétion de l’appareil est un bénéfice supplémentaire apprécié par les patients actifs.
Ce type de traitement complexe coûte-t-il beaucoup plus cher ?
Le tarif d’un traitement orthodontique dépend de sa complexité et de sa durée, quelle que soit la technique utilisée. Un protocole mixte sur 18 mois est facturé en cohérence avec sa durée et les ressources mobilisées. OrthoLight remet un devis personnalisé et détaillé à l’issue du bilan complet 3D, avant tout engagement. Les solutions de financement HeidiPay (12 à 24 mensualités sans frais) sont disponibles.
Faut-il une contention après un traitement à 60 ans ?
Oui, toujours. La contention est indispensable quel que soit l’âge du patient. Les ligaments parodontaux gardent une mémoire de la position initiale des dents et tendent à les y ramener si aucune contention n’est en place. Après un traitement aussi complexe que celui-ci, la contention est particulièrement importante pour protéger le résultat obtenu. OrthoLight intègre systématiquement cette étape dans chaque plan de traitement.
Vous avez 50, 60 ou 70 ans et vous hésitez encore ?
Prendre rendez-vous pour une évaluation honnête
La consultation initiale chez OrthoLight vous donnera une réponse honnête sur ce qui est possible pour votre situation. Sans promesse, sans pression — avec les options réellement disponibles pour votre cas.
Consultation initiale : 104.60 CHF · Barème SSO
Prendre rendez-vous →