-
Rue du Rhône 61, Genève
-
lundi au vendredi : 09h30 à 18h30
Plaque d'expansion - Enfant 13 ans, GenèveOrthoLight
13
Ans · Enfant
Expansion
Technique utilisée
4
Mois · Durée
Classe II
Malocclusion traitée
2024
Début du traitement
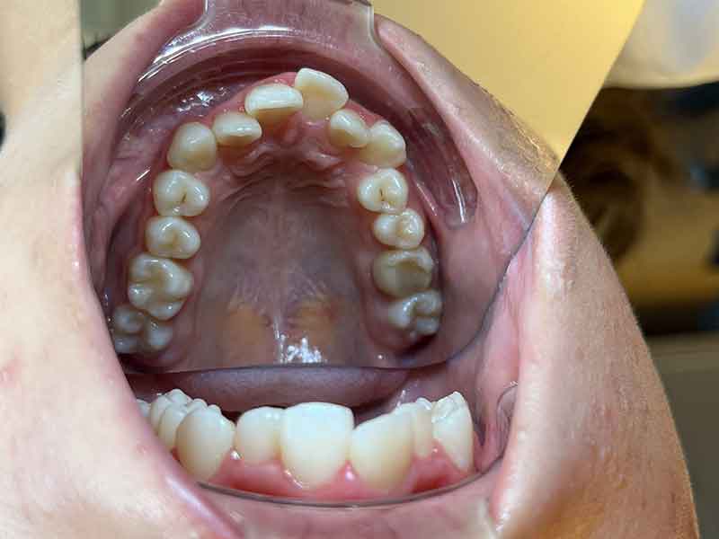
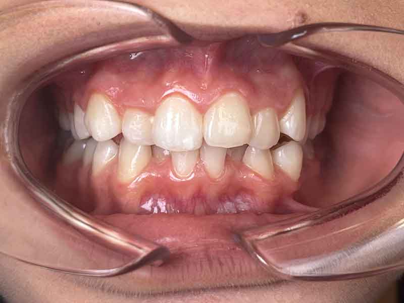
Situation initiale · Juin 2024
À 13 ans, une plaque amovible de 4 mois peut éviter une correction chirurgicale à 17 ans
Quand les parents de cette jeune patiente de 13 ans consultent OrthoLight, la question n'est pas évidente à formuler : les dents ne semblent pas si mal alignées de face, mais quelque chose ne va pas. C'est en vue latérale que la situation apparaît clairement — et qu'elle justifie d'agir maintenant.
À 13 ans, la croissance n'est pas terminée. La suture palatine médiane — la jonction naturelle entre les deux os du maxillaire — est encore souple, encore réactive. Dans quelques années, elle se soudera progressivement. Ce que l'on peut corriger aujourd'hui avec un simple appareil amovible nécessitera demain une intervention chirurgicale.
La vue latérale droite est très parlante. Le praticien observe deux problèmes liés :
Un décalage de Classe II
Les molaires et prémolaires supérieures sont en avance par rapport aux inférieures. Ce type de malocclusion traduit un déséquilibre dans la relation antéro-postérieure entre les deux mâchoires.
Une canine supérieure proéminente
Elle ne s'inscrit pas harmonieusement dans l'arcade. Ce signe révèle un manque de place transversal : le maxillaire n'a pas suffisamment grandi en largeur, créant à la fois cet encombrement et le décalage entre les arcades.
Les deux problèmes ont une cause commune : l'arcade supérieure est trop étroite. C'est sur elle que le traitement va agir directement.
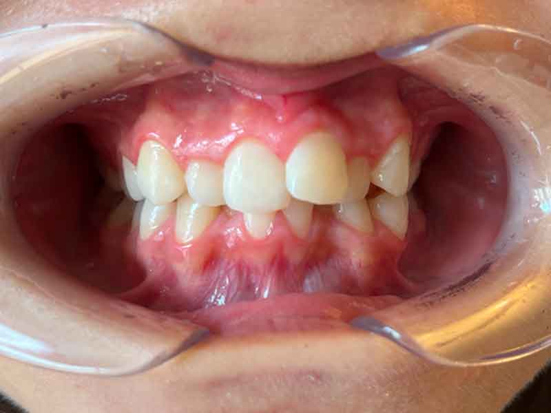
Résultat · Février 2025
En 4 mois — Un résultat visible qui change la trajectoire orthodontique
En seulement 4 mois de port de la plaque d'expansion, la progression est visible et convaincante.
Le décalage de Classe II est atténué : la relation entre les arcades supérieure et inférieure s'est améliorée
La canine supérieure a commencé à trouver sa place dans l'arcade
L'occlusion latérale est plus harmonieuse
Le maxillaire s'est élargi, avec un effet de chaîne positif sur l'ensemble de la relation entre les deux mâchoires
Quatre mois. Un appareil amovible. Un résultat qui change la trajectoire orthodontique de cette patiente pour les années à venir.
Choix thérapeutique
La plaque d'expansion palatine
Face à ce tableau clinique, OrthoLight choisit une plaque d'expansion palatine — un appareil amovible fabriqué sur mesure à partir d'une empreinte de l'arcade supérieure. Ce n'est pas un appareil fixe. C'est une intervention légère, précise, et parfaitement adaptée à la fenêtre de croissance de cette patiente.
Comment fonctionne la plaque d'expansion
L'appareil se compose d'une base en résine qui recouvre le palais, de crochets qui s'accrochent aux dents pour maintenir l'appareil en place, et d'une vis centrale. Cette vis, activée régulièrement à la maison selon un protocole précis, est le cœur du mécanisme.
En s'ouvrant progressivement, elle exerce une pression latérale douce et constante sur les deux moitiés du palais. Cette pression stimule la suture palatine médiane et provoque une expansion osseuse progressive. Ce n'est pas une force mécanique brutale : c'est une stimulation biologique qui accompagne la croissance dans la bonne direction.
Le résultat : le maxillaire s'élargit, l'arcade gagne en largeur, les dents disposent de plus d'espace pour s'aligner. Et en corrigeant la largeur de l'arcade supérieure, on améliore mécaniquement la relation entre les deux mâchoires — ce qui réduit directement le décalage de Classe II.
Pourquoi 13 ans est encore le bon moment
La suture palatine médiane ne se soude définitivement qu'à la fin de l'adolescence, voire au début de l'âge adulte. À 13 ans, elle reste suffisamment souple pour répondre à la stimulation de la plaque d'expansion.
Passé ce stade, corriger la même problématique nécessiterait une disjonction chirurgicale — une procédure autrement plus lourde et invasive.
Agir à 13 ans avec une plaque amovible portée quelques mois, c'est éviter une intervention chirurgicale quelques années plus tard.
Ce que ce cas illustre
Attendre a un coût clinique réel
La plaque d'expansion n'est pas un traitement orthodontique complet. C'est une phase interceptive : elle prépare le terrain et crée les conditions pour qu'un traitement ultérieur, si nécessaire, soit plus simple, plus court et plus stable.
À 13 ans, les options sont encore nombreuses et peu invasives. À 17 ans, certaines de ces options ne seront plus disponibles sans chirurgie.
"Ce que l'on peut corriger aujourd'hui avec un appareil amovible nécessitera demain une intervention chirurgicale."
Ce que ce cas ne promet pas
Chaque patient est différent
Ce résultat a été obtenu dans des conditions cliniques spécifiques, avec une patiente de 13 ans dont la suture palatine était encore suffisamment souple pour répondre au traitement.
L'âge du patient, la sévérité du décalage et la coopération dans le port de l'appareil influencent directement les résultats. OrthoLight évalue chaque situation individuellement lors de la consultation initiale.
Questions fréquentes sur ce cas
La plaque d'expansion est-elle douloureuse ?
Non. La plaque d’expansion exerce des forces légères et progressives sur les os du palais. La grande majorité des patients ne ressentent pas de douleur. Une légère pression peut être perçue après chaque activation de la vis, pendant quelques heures. C’est la sensation normale d’une stimulation osseuse en cours. Elle disparaît rapidement et ne nécessite généralement pas d’antalgiques.
L'enfant porte-t-il la plaque à l'école ?
Cela dépend du protocole défini par le praticien pour chaque cas. En général, la plaque est portée la nuit et plusieurs heures pendant la journée – dont une partie peut se faire à la maison. Le praticien précise les modalités de port lors de la pose et adapte les instructions à l’organisation familiale.
Après la plaque d'expansion, faudra-t-il des bagues ?
Pas nécessairement, ou pas toujours de façon aussi longue ou complexe qu’initialement prévu. La plaque d’expansion crée les conditions favorables. Si un traitement fixe est ensuite indiqué, il sera plus court et plus simple qu’il n’aurait été sans l’expansion préalable. Dans certains cas favorables, aucun appareil fixe supplémentaire n’est nécessaire. Le praticien fait le point à l’issue de la phase d’expansion.
Peut-on faire une expansion palatine à 15 ou 16 ans ?
Oui, mais avec des résultats moins prévisibles qu’à 13 ans. Plus on approche de la fin de la croissance, plus la suture palatine se rigidifie et résiste à l’expansion. À 13 ans, la fenêtre est encore favorable. Après 16-17 ans chez une fille, après 17-18 ans chez un garçon, la même correction nécessiterait généralement une disjonction chirurgicale. Une consultation permet d’évaluer rapidement si la fenêtre est encore ouverte.
Ce traitement est-il adapté aux garçons aussi ?
Oui, totalement. La croissance palatine suit des rythmes différents selon le sexe – les garçons ont généralement une fenêtre d’opportunité plus longue que les filles pour ce type d’intervention. La plaque d’expansion est indiquée pour les enfants et adolescents des deux sexes, en fonction du stade de croissance évalué lors de la consultation.
Votre enfant ou adolescent présente un décalage similaire ?
Prendre rendez-vous pour une évaluation
La consultation initiale chez OrthoLight comprend un examen clinique complet, une analyse de la relation inter-arcades et une présentation honnête des options disponibles selon l'âge et le stade de croissance. Vous repartez avec une vision claire, sans engagement.
Consultation initiale : 104.60 CHF · Barème SSO
Prendre rendez-vous →