-
Rue du Rhône 61, Genève
-
lundi au vendredi : 09h30 à 18h30
Bagues avec extractions Adolescent 13 ans, GenèveOrthoLight
13
Ans · Adolescent
Bagues
Technique utilisée
4
Extractions
30
Mois · Durée
2024
Début du traitement
Traitement en cours · Juin 2024
Extraire quatre dents pour aligner toutes les autres — quand c'est la bonne décision
La question que tout parent pose quand le praticien évoque des extractions est toujours la même : "Vraiment, c'est indispensable ?" C'est une question légitime. Personne ne veut retirer des dents saines sans raison valable.
La réponse honnête est celle-ci : non, ce n'est pas systématique — mais dans certains cas, c'est la seule option qui permette d'obtenir un résultat stable et durable sans compromettre la santé des dents restantes. Ce cas en est la démonstration.
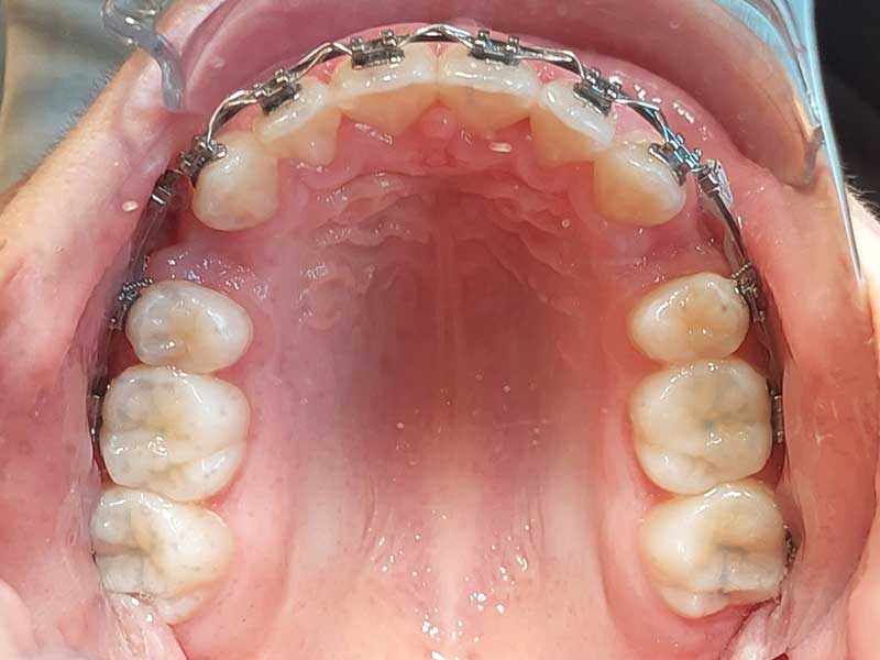
Cette photo montre le traitement à son stade intermédiaire. Les bagues conventionnelles en métal sont posées sur l'ensemble des dents visibles aux deux arcades. Les brackets sont reliés par un fil de travail maintenu par des ligatures métalliques — c'est le système conventionnel ligaturé, qui donne au praticien un contrôle tridimensionnel précis sur chaque dent.
À ce stade, le travail de déplacement est en cours. Les arcades se restructurent progressivement. Les espaces créés par les quatre extractions sont en cours de fermeture. Ce type de photo est rarement montré aux patients avant le début d'un traitement. OrthoLight choisit de le faire parce que la transparence sur ce à quoi ressemble un traitement en cours est plus utile qu'une promesse de résultat sans contexte.
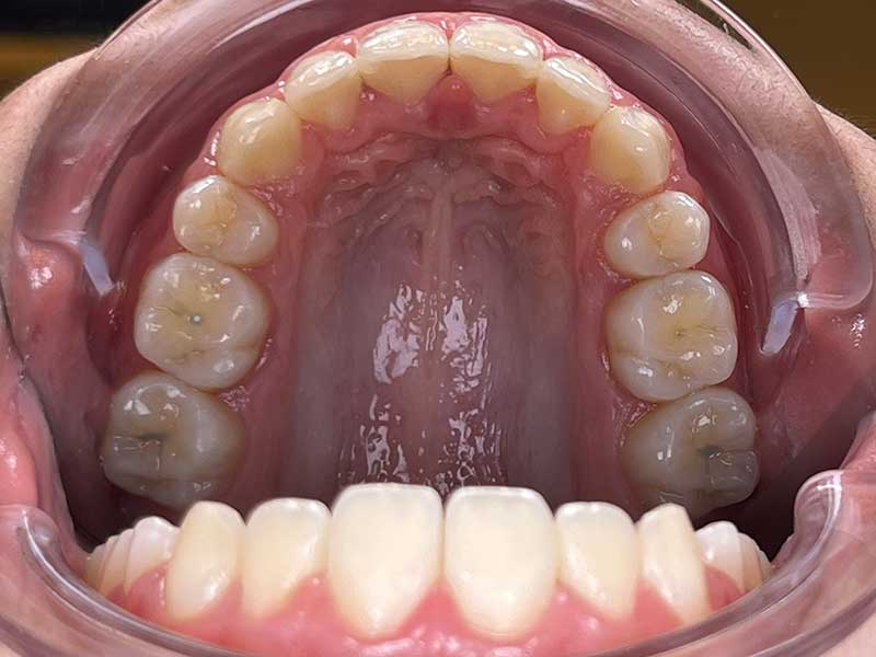
Résultat final · Février 2026
Après 30 mois — Aucune trace. Aucun espace. Un sourire aligné pour toujours.
Le contraste avec la photo de traitement est saisissant. Plus aucune bague, plus aucun fil. Les deux arcades sont alignées de façon harmonieuse.
Les espaces créés par les quatre extractions sont entièrement fermés — aucun espace résiduel n'est visible
L'arcade inférieure présente un alignement exemplaire des incisives — les rotations sont corrigées
L'arcade supérieure est symétrique et bien articulée avec l'inférieure
L'occlusion est équilibrée et stable
Trente mois de traitement pour un résultat qui durera toute une vie — à condition de porter la contention correctement.
Décisions cliniques
Pourquoi des extractions et pourquoi les bagues
Pourquoi des extractions ?
Quatre dents ont été retirées avant la pose des bagues — très probablement des premières prémolaires, une par quadrant. Quand les mâchoires ne sont pas assez larges pour accueillir toutes les dents définitives dans un alignement correct, deux options existent : créer de l'espace en élargissant les arcades, ou créer de l'espace en retirant des dents.
L'expansion palatine fonctionne bien chez les enfants et jeunes adolescents dont la suture palatine est encore souple. Mais cette fenêtre se referme avec la croissance. À un certain stade, élargir suffisamment sans extraction n'est plus possible sans compromettre l'équilibre des arcades ou la position des dents restantes.
Dans ce cas précis, les extractions étaient l'option cliniquement la plus pertinente. Les prémolaires extraites sont des dents dont l'absence, une fois les espaces orthodontiquement fermés, ne modifie ni la fonction masticatoire ni l'esthétique du sourire.
Le résultat final le confirme : aucun espace résiduel, aucune asymétrie, aucune trace visible des extractions.
Pourquoi les bagues et non les gouttières ?
Ce cas illustre un principe important : chez OrthoLight, la technique est choisie en fonction du cas, pas l'inverse.
Les gouttières transparentes sont excellentes pour de nombreux cas — en particulier chez l'adulte. Mais pour un adolescent de 13 ans avec 4 extractions et un encombrement sévère, les bagues conventionnelles offrent un contrôle tridimensionnel du mouvement dentaire que les gouttières n'atteignent pas encore pour ce niveau de complexité.
Chaque bracket est positionné avec une précision qui détermine l'orientation finale de la dent. Chaque fil de travail transmet des forces calibrées. C'est la technique qui correspond à ce cas — et c'est pour cela qu'elle a été choisie.
La tendance ne fait pas la décision clinique.
30 mois au quotidien
Ce que vivent les patients avec des bagues pendant 30 mois
Les rendez-vous
Toutes les 6 à 8 semaines pour les ajustements. Chaque rendez-vous dure entre 20 et 40 minutes.
L'inconfort
Après chaque activation, une sensibilité dentaire dure 2 à 3 jours. Ce n'est pas de la douleur intense — c'est la sensation normale de déplacement dentaire. Des antalgiques courants soulagent si nécessaire.
L'hygiène
Elle demande plus d'attention avec des bagues : brossette orthodontique, brossettes interdentaires, fil de soie avec passe-fil. L'équipe explique en détail la technique lors de la pose et vérifie l'hygiène à chaque rendez-vous.
L'alimentation
Certains aliments très durs ou très collants sont à éviter pour ne pas endommager les brackets. L'alimentation courante reste variée sans contrainte majeure.
Ces contraintes sont réelles et assumées. Mais elles sont proportionnelles au résultat obtenu — et à ce que ce traitement épargne pour l'avenir.
Ce que ce cas illustre
Les bagues restent la référence pour les cas complexes
Un traitement bien conduit à 13 ans évite beaucoup à 25 ans. La croissance active à cet âge travaille avec le praticien. Les déplacements sont plus rapides, les résultats plus stables, et certaines corrections disponibles maintenant ne le seront plus à l'âge adulte qu'au prix d'interventions autrement plus lourdes.
La tendance des techniques invisibles est réelle et bénéfique pour de nombreux patients. Mais certains cas nécessitent le contrôle précis que seules les bagues conventionnelles peuvent offrir. Reconnaître cela, c'est mettre l'intérêt du patient avant la préférence esthétique.
"Les extractions ne laissent pas de trace. Ce résultat le confirme définitivement."
Ce que ce cas ne promet pas
Les extractions ne sont pas systématiques
Les résultats varient selon la nature de la malocclusion, l'âge et la coopération du patient. La décision d'extraire des dents est prise au cas par cas, après un bilan complet 3D, et uniquement lorsqu'elle est cliniquement justifiée.
OrthoLight ne pratique pas d'extractions par protocole standard. Chaque situation est évaluée individuellement lors de la consultation initiale.
Questions fréquentes sur ce cas
Les dents extraites manqueront-elles après le traitement ?
Non. Les dents extraites dans ce contexte sont des premières prémolaires – des dents dont l’absence, une fois les espaces orthodontiquement fermés, ne modifie ni la fonction masticatoire ni l’esthétique du sourire. Vous ne pouvez pas voir les espaces sur le résultat final, et le patient ne les ressent pas fonctionnellement. C’est précisément pourquoi ce type d’extraction, quand il est cliniquement justifié, donne un résultat indiscernable d’une dentition naturellement parfaite.
Mon enfant a 13 ans. Est-il encore temps de commencer un traitement complet ?
Oui. Treize ans est même l’un des âges les plus favorables pour un traitement orthodontique complet. La dentition définitive est en place et la croissance est encore active – ce qui permet au praticien d’exploiter cette dynamique dans la correction. Un traitement bien conduit à 13 ans donne des résultats plus rapides et plus stables qu’un traitement commencé à 18 ou 20 ans.
Pourquoi ne pas avoir utilisé les gouttières transparentes pour ce cas ?
Pour les cas associant plusieurs extractions, des rotations multiples et des fermetures d’espaces importantes sur les deux arcades, les bagues conventionnelles offrent un contrôle tridimensionnel du mouvement dentaire plus précis et plus fiable que les gouttières à ce niveau de complexité. Chez OrthoLight, le choix de la technique suit le cas clinique – pas la tendance du marché.
30 mois de bagues, n'y avait-il pas moyen de faire plus vite ?
La durée d’un traitement orthodontique est déterminée par la complexité de la correction à réaliser et par la biologie du patient – pas par la technique. Pour ce niveau de correction, avec 4 extractions et un encombrement sévère sur les deux arcades, 30 mois est une durée cohérente. Un traitement bâclé pour gagner du temps sur la durée aurait compromis la stabilité du résultat final.
La contention est-elle nécessaire après 30 mois de bagues ?
Oui, toujours. Quelle que soit la durée du traitement actif, la contention est indispensable pour maintenir le résultat dans le temps. Les ligaments parodontaux gardent une mémoire de la position initiale des dents et tendent à les y ramener si aucune contention n’est en place. OrthoLight intègre systématiquement la contention dans chaque plan de traitement.
Votre adolescent a besoin d'un bilan orthodontique ?
Prendre rendez-vous pour une évaluation complète
La consultation initiale chez OrthoLight comprend un examen clinique complet et une présentation honnête des options disponibles — avec ou sans extractions, avec ou sans bagues. Vous repartez avec une vision claire, sans engagement.
Consultation initiale : 104.60 CHF · Barème SSO
Prendre rendez-vous →